빠른 상담신청

[자세히 보기]
메뉴펼침 버튼
상단헤더 미니배너이미지

SEOUL CLASSIC DENTAL CLINIC

커뮤니티

내 치아처럼 정확하게 치료하는 서울클래식치과의원입니다.

SEOUL CLASSIC DENTAL CLINIC

커뮤니티

내 치아처럼 정확하게 치료하는 서울클래식치과의원입니다.

SEOUL CLASSIC DENTAL CLINIC

커뮤니티

내 치아처럼 정확하게 치료하는
서울클래식치과의원입니다.

홈버튼 아이콘

치료사례

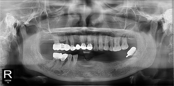
네비게이션 임플란트

최고관리자

0건

23-11-07 18:40

본문

하악 틀니에서 네이게이션 임플란트

댓글목록

등록된 댓글이 없습니다.